Imagina intentar soplar un globo con un pequeño agujero en él. Por más aire que le eches, nunca se inflará como debería. Algo similar ocurre cuando un bebé nace con paladar hendido, una abertura en el "techo" de la boca. La gran esperanza de los padres suele estar puesta en una cirugía que "cierre ese agujero". Y sin duda, la operación es el primer y más crucial paso.
Pero aquí viene la pregunta del millón: ¿una vez operado, el niño hablará perfectamente? La respuesta, aunque llena de esperanza, no es un simple "sí".
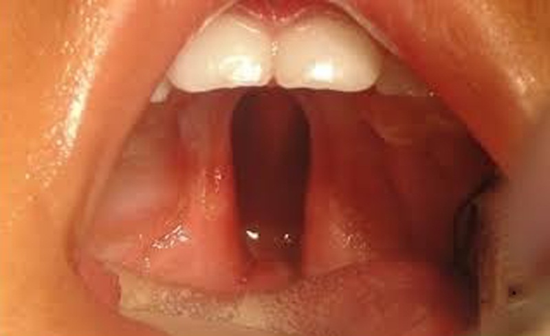
Piensa en el paladar no como una simple pared, sino como un piano de alta precisión. Su función al hablar es increíble: debe moverse con rapidez y elevarse para tocar la parte trasera de la garganta, sellando la nariz.
Esto es lo que nos permite pronunciar sonidos explosivos como la "p", la "b", la "t", o la "d". Sin ese sellado, el aire se escapa por la nariz y el habla suena nasal, como si siempre estuviéramos resfriados. La cirugía repara la estructura, construye ese "techo" y da al músculo la oportunidad de funcionar.
Sin embargo, operar es como reparar el piano; no garantiza que el músico toque una sonata de inmediato.
Aunque el paladar esté cerrado, el músculo puede ser débil o no moverse con la coordinación necesaria. El niño, además, ha pasado sus primeros meses o años de vida adaptándose a esa anatomía única, aprendiendo patrones de habla compensatorios (como hablar desde la garganta) que son difíciles de olvidar.
Por eso, la cirugía es solo el comienzo del viaje. El verdadero héroe que desbloquea un habla clara suele ser la terapia de lenguaje. Un terapeuta especializado es como el entrenador personal del paladar.
Enseña al niño a fortalecer ese músculo, a colocarlo en la posición correcta y a coordinar su movimiento con la lengua y los labios. Les ayuda a "re-aprender" a hablar, deshaciendo viejos hábitos y construyendo nuevos.
En conclusión, operar el paladar hendido es indispensable, pero no es mágico. Es la base sólida sobre la que se construye el habla.
Es la puerta que se abre para que el lenguaje fluya, pero para cruzarla con éxito se necesita el acompañamiento constante de la terapia. Es un trabajo en equipo entre el cirujano, el terapeuta, la familia y el niño. Juntos, no solo cierran una apertura física, sino que abren un mundo de comunicación clara y confianza para toda la vida.
FOTO: (Web maxilopediatrico.blogspot)

