¿Te has mirado alguna vez una foto vieja y pensado: "¡Dios, qué blancos tenía los dientes antes!"? La verdad es que no eres el único. Es algo que nos pasa a casi todos, y aunque a veces nos preocupa por estética, en realidad es un proceso bastante normal. Nuestra sonrisa no es un esmalte inmutable como el de una taza; es más bien como un pullover blanco favorito que, con el tiempo y el uso, va perdiendo su brillo original.
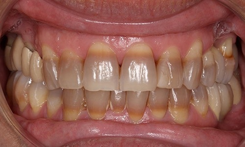
La explicación más sencilla está en lo que comemos y bebemos. Piensa en tu taza de café mañanera. Si el café puede manchar una taza blanca, imagina lo que hace en nuestros dientes, que tienen poros microscópicos. Lo mismo pasa con el té, el vino tinto, los refrescos oscuros o la salsa de tomate. Cada sorbo o bocado deja un pequeño rastro de color, casi invisible al principio, pero que con los años va "empapando" la superficie del diente.
Y si hablamos de manchas, el tabaquismo es el campeón indiscutible, dejando un feo tono amarillo-marrón muy difícil de ignorar. Pero no toda la culpa la tiene lo de fuera. Hay una transformación interna que es inevitable: el simple paso del tiempo. Nuestros dientes tienen una capa externa muy dura (el esmalte) que protege una capa interna más amarillenta (la dentina). Con los años, el esmalte se va gastando y adelgazando, como la suela de un zapato viejo. Cuando esto pasa, la dentina amarilla empieza a asomarse más, y por eso nuestra sonrisa va adquiriendo un tono más cálido o apagado con la edad.
También hay golpes o caídas que, sin romper el diente, pueden "matar" el nervio que hay dentro, haciendo que el diente se oscurezca desde adentro, como un moretón. Y algunos medicamentos que tomamos de niños, cuando los dientes se están formando, pueden quedar grabados en su estructura para siempre.
La buena noticia es que tenemos mucho poder para cuidar nuestro brillo. Un cepillado constante y correcto es como limpiar ese pullover blanco a tiempo, impidiendo que las manchas se fijen. Y cuando ya están, los estomatólogos tienen recursos, desde limpiezas profesionales hasta tratamientos de blanqueamiento seguro.
Al final, que nuestros dientes cambien de color es parte natural de vivir. Cuentan la historia de lo que hemos disfrutado, de los años que hemos reído e, incluso, de los cuidados que les hemos dado. Entender por qué pasa es el primer paso para mantener una sonrisa que, aunque no sea de un blanco artificial, sea siempre una muestra de salud y vitalidad.
FOTO: (Sitio Web riberaclinicadental.es)

