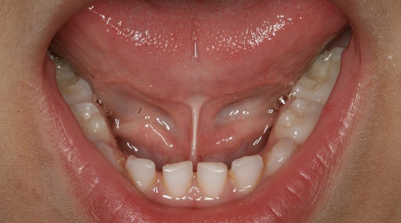
Cuando hablamos o sonreímos, pocas veces pensamos en los pequeños pliegues de tejido que se esconden bajo nuestros labios y lengua. Son tan discretos que casi pasan desapercibidos, pero cumplen un papel fundamental: los frenillos. Esos “hilos” de piel que conectan la lengua con el piso de la boca, o los labios con las encías, son mucho más que simples curiosidades anatómicas.
El frenillo lingual, por ejemplo, es el que nos permite mover la lengua con precisión. Gracias a él podemos pronunciar palabras, saborear los alimentos y realizar movimientos delicados como empujar la comida hacia los dientes. Sin este soporte, la lengua sería como un músculo suelto, difícil de controlar. Por otro lado, los frenillos labiales ayudan a mantener los labios en su lugar y a estabilizar la encía, colaborando en la correcta alineación de los dientes.
Aunque pequeños, los frenillos son como cuerdas de un instrumento: tensan, sostienen y guían. Sin ellos, la “melodía” de hablar, comer o sonreír sería mucho más complicada. Además, cumplen una función de equilibrio: evitan que los labios o la lengua se desplacen demasiado, lo que podría afectar la forma en que mordemos o articulamos sonidos.
Claro, no todos los frenillos son iguales. En algunos casos, pueden ser demasiado cortos o rígidos, lo que genera dificultades al hablar o mover la lengua. Seguro has escuchado la expresión “tener la lengua pegada”: se refiere precisamente a un frenillo lingual demasiado restrictivo. En esos casos, la medicina puede intervenir, pero en la mayoría de las personas los frenillos cumplen su misión silenciosa sin causar problemas.
Los frenillos son pequeños héroes invisibles. No se ven en las fotos, no protagonizan sonrisas, pero sin ellos nuestra boca no funcionaría con la misma armonía. Cuando pronuncies una palabra o disfrutes un bocado, recuerda que detrás de ese gesto cotidiano hay unos discretos aliados que hacen posible lo que parece tan natural.
FOTO: (Tomada de dentalborras.com)

